MINISH Veneers
in Korea
MINISH Dental Clinic in Gangnam, Korea offers advanced technology and state-of-the-art equipment to provide you with the best veneer services. Our expert staff is dedicated to crafting a stunning smile line while preserving your natural teeth.
What are MINISH Veneers?
MINISH GANGNAM
MINISH Veneers are a dental restoration solution available at MINISH Gangnam, designed to enhance both the function and aesthetics of your smile.
Unlike traditional laminate or tooth shaping methods, MINISH veneers uses materials that closely mimic the properties of natural teeth. These veneers are bonded to damaged teeth, effectively restoring their original look and function. With MINISH’s advanced approach, you can achieve a natural-looking smile that feels just like your real teeth.
MINISH VENEERS 1
Properties Aligned with Natural Teeth
MINISH veneer restorations aim to replicate the natural properties of teeth. The outer surface of a tooth, the enamel, is akin to hard glass, while the inner dentin resembles flexible rubber. To effectively restore teeth, MINISH veneers considers both the extent and location of the damage, ensuring the restoration matches the original properties of the teeth.
MINISH VENEERS 1
Properties Aligned with Natural Teeth
MINISH veneer restorations aim to replicate the natural properties of teeth. The outer surface of a tooth, the enamel, is akin to hard glass, while the inner dentin resembles flexible rubber. To effectively restore teeth, MINISH veneers considers both the extent and location of the damage, ensuring the restoration matches the original properties of the teeth.

MINISH VENEERS 2
Strength Comparable to Natural Teeth
The strength of restorative materials is crucial. Using overly strong materials could harm the ligaments or roots of teeth, or adversely affect adjacent teeth. MINISH veneers blocks are crafted from biocompatible materials that closely mimic the properties of natural teeth. These include aspects like fracture strength, compressive and tensile strength, elasticity, mammography, and the coefficient of thermal expansion. Such careful selection ensures that MINISH veneers restorations are gentle yet durable, providing a seamless and functional fit with your natural teeth.
MINISH VENEERS
Ultra-Precision Dental Technology
MINISH represents cutting-edge dental technology designed for optimal precision and minimal invasiveness. It is crafted without the unnecessary removal of tooth material, ensuring a natural and seamless fit. By utilizing state-of-the-art equipment, MINISH achieves:
With MINISH Veneers, you can expect a high-tech solution that prioritizes the preservation of your natural tooth structure while delivering superior dental restoration results.

Precise Sealing
The technology ensures that teeth and gaps are sealed with utmost accuracy, preventing any future issues.

Marginal Blockade
This approach provides a thorough blockage of margins, enhancing the durability and stability of restorations.

Trouble-Free Usage
The precision and advanced techniques employed result in restorations that function flawlessly, integrating smoothly with your natural teeth.

Precision Manufacturing in MINISH Veneer Dental Solutions
MINISH Detail 01: Error-Free 3D Oral Scanning
Advanced 3D oral scanning technology transforms the detailed contours of your oral cavity into precise digital information. This process significantly reduces errors typically associated with material deformation during traditional modeling methods, ensuring a perfect fit.
MINISH Detail 02: Expertise in Veneer Crafting
With over a decade of specialization in MINISH creation, our dedicated team understands the nuances of dental materials. This deep expertise allows us to craft restorations with exceptional detail and quality. Our luxury restoration products are the culmination of skilled workmanship by veteran researchers.
The Impact of Craftsmanship and Precision on The Lifespan of Veneer Dental Prosthesis

Before treatment

Veneers 3 years later

Veneers 8 years later
MINISH Detail 03: Seamless Integration with Natural Teeth
Achieving a seamless, gap-free integration between natural teeth and veneers is crucial for maintaining oral health and comfort. Our proven techniques, honed over more than 150,000 clinical cases, ensure a perfect seal that promotes trouble-free oral health for years.
The Importance of Precision in Veneer Dental Restorations

Precision in dental restorations is crucial for several reasons:
Preventing Secondary Issues
Bacteria Infiltration: If there is even a slight gap between the tooth and the restoration, or between the gum and the restoration, bacteria can penetrate these spaces. This infiltration can lead to secondary complications such as tooth sensitivity, pain, and gum swelling.
Sustaining Oral Health
Long-term Effects: These side effects often do not manifest immediately but can develop over time. Therefore, precision during the initial placement is essential to prevent these issues and maintain a healthy oral environment.
MINISH Detail 04:Precision for All Types of Teeth
Thanks to MINISH’s ultra-precision veneer technology, we can restore a wide range of dental issues with exceptional accuracy. This precision allows for:
Front Teeth Restoration: Achieve a natural and aesthetically pleasing smile by restoring the visibility of your smile.
Molars and Gums: Durable and accurate restorations for molars and gums ensure long-lasting functionality and comfort.
Lost Teeth Replacement: Even in cases of missing teeth, MINISH technology can create thin yet precise solutions that seamlessly integrate with the natural structure of your mouth.
MINISH Veneer Types
Each MINISH Veneer restoration is unique and handcrafted to address the specific needs and damage of an individual’s teeth. Just like human fingerprints, no two MINISH are ever identical, ensuring a personalized fit and appearance.

DUAL VENEERS
Ideal for extensive damage to the front teeth, this type ensures strong and aesthetically pleasing restoration for your smile’s forefront.

PINK MINISH VENEERS
Designed for cases where both the front teeth and gums are affected, providing a harmonious integration and restoration of dental health and aesthetics.

MINISH Veneers Before After Images
Tooth Decay and Shape Improvement
(Actual Treatment Duration: 1 day)
2019.12.28
2020.02.08
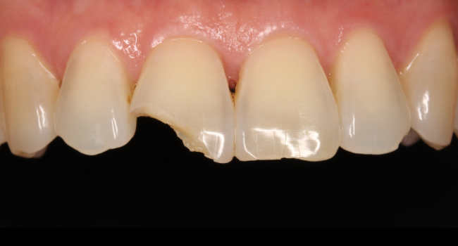
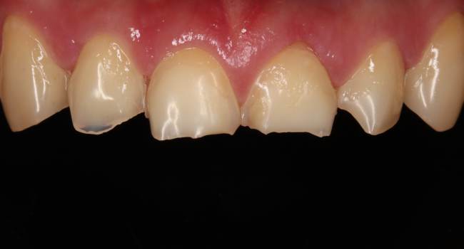
Fractured/Broken Teeth Restoration:
(Actual Treatment Duration: 1 day)
2020.01.06
2020.03.30
Lost Teeth Replacement
(Actual Treatment Duration: 1 day)
2018.05.18
2018.06.09
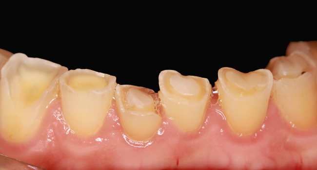
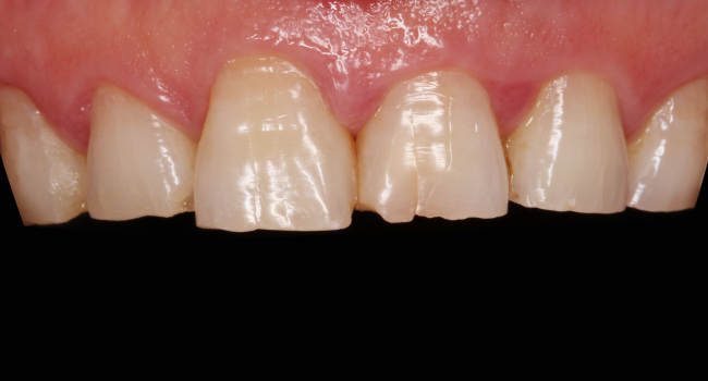
Fractured/Broken Teeth Restoration:
(Actual Treatment Duration: 1 day)
2020.08.09
2020.08.09
Note: The actual treatment duration may differ among individuals. It’s crucial to consult with a medical professional to obtain an accurate diagnosis and determine the suitable course of treatment. Side effects might occur, hence professional guidance is strongly recommended.
Restoring Smiles with 16 Years of Veneer Expertise
At MINISH in Gangnam, Korea, dental treatment is approached with meticulous care and precision, as it involves critical parts of the human body. Beyond a deep understanding of dental theory, possessing extensive know-how from numerous clinical and varied cases is paramount. This experience not only enhances the skill of our medical staff but also significantly impacts treatment outcomes, ensuring high-quality care and restored smiles.

GANGNAM MINISH
Authentic MINISH Veneer Excellence
At Gangnam MINISH Dental Clinic, only authentic veneer solutions are utilized, ensuring the highest quality of care. MINISH’s ultra-precision veneer technology facilitates the restoration of a variety of dental needs, from front teeth to molars, gums, and even missing teeth, by creating restorations that are both thin and precisely tailored.
Frequently Asked Questions
What are MINISH Veneers?
MINISH Veneers are dental restorations offered at MINISH Dental Clinic in Gangnam, Korea, designed to enhance both the function and aesthetics of your smile. Unlike traditional laminates or tooth shaping methods, MINISH Veneers use materials that closely mimic the properties of natural teeth. These veneers are bonded to damaged teeth, effectively restoring their original look and function, resulting in a natural-looking smile that feels just like your real teeth.
How do MINISH Veneers differ from traditional veneers?
Unlike traditional veneers that may require significant removal of tooth material, MINISH Veneers are crafted with minimal invasiveness, preserving more of your natural tooth structure. They utilize biocompatible materials that closely mimic the properties of natural teeth, including aspects like fracture strength, elasticity, and thermal expansion. This careful selection ensures that MINISH Veneers provide a seamless and functional fit with your natural teeth.
What types of MINISH Veneers are available?
MINISH Dental Clinic offers several types of veneers tailored to different dental needs:
- Dual Veneers: Ideal for extensive damage to the front teeth, ensuring strong and aesthetically pleasing restoration.
- Pink MINISH Veneers: Designed for cases where both the front teeth and gums are affected, providing harmonious integration and restoration.
- Bridge Veneers: Suitable for restoring missing teeth by bridging gaps and restoring functionality with seamless precision.
- Molar Veneers: Best suited for extensive damage to the molars, ensuring robust support and durability in the back sections of your smile.
What is the process for getting MINISH Veneers?
The process involves several steps:
- Consultation: A thorough examination to assess your dental condition and discuss your goals.
- 3D Oral Scanning: Advanced 3D scanning technology captures detailed contours of your oral cavity, transforming them into precise digital information to ensure a perfect fit.
- Veneer Crafting: With over a decade of specialization, the dedicated team crafts restorations with exceptional detail and quality.
- Application: The veneers are bonded to your teeth with precision, ensuring a seamless integration with your natural teeth.
Where is MINISH Dental Clinic located, and what are the operating hours?
MINISH Dental Clinic is located at 2nd floor, Samheung Building, 373 Sapyeong-daero, Seocho-gu, Seoul, near Exit 1 of Sinnonhyeon Station. The operating hours are:
- Monday to Friday: 9:00 AM – 8:00 PM
- Saturday and Sunday: 9:00 AM – 6:00 PM
Location
2nd floor, Samheung Building, 373 Sapyeong-daero, Seocho-gu, Seoul
MINISH Dental Clinic is located at Exit 1 of Sinnonhyeon Station.
1661-2854
To ensure a smooth consultation, please make an appointment before your visit.
Time
Mon-Fri
9:00 – 20:00
Sat-Sun
9:00 – 18:00
Parking
Free parking available in the building’s underground parking lot
Parking space on site is limited, so please use public transportation whenever possible.
DUAL VENEERS BEFORE/AFTER
Tooth wear
Tooth decay
Tooth fracture
Tooth Instability (Crack)
The treatment period for MINISH veneer solutions can vary from person to person, depending on individual needs and conditions. It’s crucial to consult with a medical professional for an accurate diagnosis to ensure the most effective treatment plan. Be aware that, as with any medical treatment, there is a possibility of side effects. By working closely with a dental expert, you can address any concerns and tailor the treatment to your specific dental health requirements.
Other Minish Veneer Types
When deciding on veneers, it’s important to choose a type suited to your specific dental needs. Different types of veneers can address a range of symptoms, from aesthetic concerns to functional issues across various areas of the mouth, including:

Molar Veneers
Molar veneers are specifically designed to address and repair extensive damage to the molars. These veneers provide a robust and durable solution, equipped to handle the significant pressure and wear from chewing. By reinforcing the damaged molars, they restore both function and appearance, ensuring that your back teeth contribute to a healthy and effective bite.

Pink Minish Veneers
The Pink Veneers is a versatile dental solution aimed at repairing both damaged front teeth and the surrounding gums. This innovative treatment not only restores the appearance and function of your front teeth but also addresses gum issues, ensuring a harmonious and aesthetically pleasing smile.

Dual Veneers
Dual Veneers are designed to provide thorough restoration for front teeth that have suffered extensive damage. Covering both the labial (front) and lingual (back) surfaces, these veneers offer complete protection and reinforcement.

Bridge Veneers
Bridge Veneers are an effective option for restoring lost teeth, providing both functional and aesthetic solutions. They work by bridging the gap left by missing teeth, securely anchoring the veneer to the adjacent natural teeth.





























